A dental crown protects and strengthens the tooth structure, giving the tooth a longer life than it would have if restored by fillings or other types of restorations.
A crown (sometimes called a cap) is a covering that encases the entire tooth surface and restores it to its original shape and size, and is often used to restore cracked or decayed teeth. There are three common types of crowns: all porcelain, porcelain fused to metal (PFM) and gold.
Reasons for Crowns:
Broken or fractured teeth
Cosmetic enhancement
Decayed teeth
Fractured fillings
Large fillings
Tooth has had a root canal
What Does Getting A Crown Involve?
A crown procedure usually requires two appointments. Your first appointment will include taking impressions that will be used to create your custom crown. The mold will also be used to create a temporary crown that will stay on your tooth for approximately two weeks until your new crown is fabricated by a dental laboratory.
While the tooth is numb, Dr. Jenkins will prepare the tooth by removing any decay and shaping the surface to properly fit the crown. Then, your temporary crown will be placed with temporary cement and your bite will be checked to ensure you are biting properly.
At your second appointment, your temporary crown will be removed, the tooth will be cleaned, and your new crown will be carefully placed to ensure both the spacing and bite are accurate. You will be given information on how to properly care for your new crown, including regular dental visits to check your crown. As with any procedure, proper oral hygiene will help extend the life of your new crown.
If you think you may need a dental crown or have any questions, please set up an appointment with Dr. Jenkins to discuss which type of crown would be best for you.
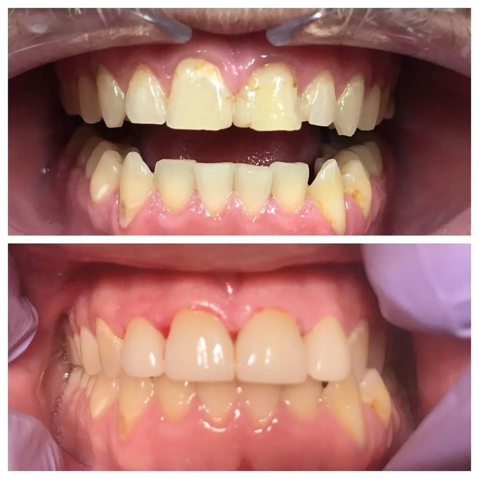
PATIENTS’ SMILE TRANSFORMATIONS WITH Crowns:
Additional services
Whether you’re looking for a general dentist close to home, or a specialty provider for a wide array of cosmetic dentistry services, you can trust our team at Amanda Family Dental! Our services include:
